Едноставно / Брзо / Прецизно

Oпшта и превентивна стоматологија

Темел на здравата и убава насмевка

Во светот на современата стоматологија, општата и реставративната нега претставуваат столб на оралното здравје – мостот меѓу превенцијата и повторното враќање на функцијата, естетиката и довербата.

Општата стоматологија се грижи за севкупната хигиена и здравје на усната празнина. Таа ги опфаќа редовните прегледи, професионалното чистење, дијагностиката на рани симптоми и третманите кои спречуваат развој на посериозни состојби. Во фокусот е индивидуализираниот пристап кон секој пациент, бидејќи превенцијата е најдоброто лекување.

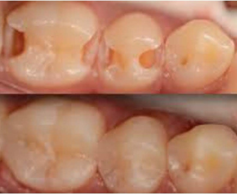
Реставративната стоматологија, пак, се надоврзува како уметност на враќање. Со користење на најсовремени материјали и технологии, се реконструираат оштетените или изгубените заби – без компромис во однос на природниот изглед, функцијата или удобноста. Без разлика дали станува збор за пломби, инлеи, коронки, мостови или импланти, секој реставративен зафат е прецизно дизајниран да се вклопи во хармонијата на вашата насмевка.

Во симбиоза, овие гранки на стоматологијата не само што лекуваат – тие создаваат самодоверба. Зашто убавата насмевка не е само естетски идеал, туку и одраз на здравјето, грижата за себе и квалитетот на живот.