Едноставно / Брзо / Прецизно

РТГ кабинет

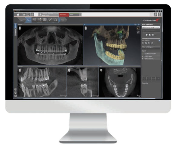
Современа дијагностика за прецизни резултати

Во нашата стоматолошка клиника, дијагностиката ја поставуваме на највисоко ниво преку сопствен РТГ кабинет опремен со најсовремена технологија. Со 2Д дигитално радиографско снимање и 3Д CBCT (Cone Beam Computed Tomography), обезбедуваме целосна, брза и безбедна слика на вашето орално здравје.

  • 2Д радиографија: идеална за детален преглед на забите, коскената структура и непцата
  • 3Д ЦБЦТ: напредна тридимензионална дијагностика што овозможува прецизно планирање на имплантолошки зафати, хируршки интервенции и комплексни дијагнози

 

Дополнително, секоја наша стоматолошка единица е опремена со сопствен РТГ апарат, што ни овозможува да направиме брзи и точни дигитални снимки веднаш при прегледот, без непотребни одлагања.

Нашиот РТГ кабинет гарантира минимална радијациона експозиција, висока резолуција и точност, што овозможува безбедна и ефикасна дијагноза без потреба од дополнителни прегледи.